MẮC XƯƠNG CÁ / HÓC XƯƠNG CÁ

MẮC XƯƠNG CÁ

MẮC XƯƠNG CÁ / HÓC XƯƠNG CÁ

Ở tại Khoa Tai mũi họng Bệnh viện Quốc tế Becamex, hóc xương cá là một trong số các nguyên nhân phổ biến bệnh nhân tìm gặp bác sĩ Tai mũi họng. Nhưng trước đó, bệnh nhân có thể thường lên mạng tìm kiếm những mẹo chữa hóc xương cá tại nhà. Điều này vô hình chung làm mất dấu xương cá, làm việc tìm và lấy xương khó khăn hơn hoặc đưa bệnh nhân từ tình trạng hóc xương cá đường họng sang biến chứng thủng dạ dày – ruột và một số biến chứng khác do xương cá đường tiêu hóa. Bài viết nhằm đưa ra những hướng dẫn mang tính khoa học và các khuyến cáo dựa trên chứng cứ nghiên cứu để hướng dẫn người dân thực hiện phòng và điều trị một cách an toàn nhất.

MẮC XƯƠNG CÁ
1. Mắc xương cá vùng họng, có nên cố gắng nuốt xuống không ?

Dễ dàng khi tìm đọc các bài viết mẹo chữa xương cá tại nhà trên Internet. Các mẹo được đưa ra : Nuốt chuối, cơm, bánh mỳ,…Điều này có thể làm đẩy xương cá từ vị trí họng xuống sâu hơn của đường tiêu hóa : thực quản – dạ dày – ruột. Nguy cơ biến chứng thủng tiêu hóa, mưng mủ – apxe cổ, ngực, bụng, nhiễm trùng huyết, có thể nguy cơ tử vong. Điều này phổ biến với các xương kích thước lớn nguy cơ dễ mắc kẹt tại đường tiêu hóa và là một trong các nguyên nhân dị vật đường tiêu hóa biến chứng cần phải phẫu thuật cấp cứu tại Việt Nam cũng như các nước Châu Á.

Hình 1 : Bệnh nhân Nữ 40 tuổi được phẫu thuật nội soi lấy xương cá tại Khoa Ngoại Bệnh viện Nguyễn Tri Phương ( Link bài viết ) 

Video 1: Thủ thuật gắp xương cá qua Nội soi họng

Kết luận :

  1. Không nên thực hiện theo mẹo dân gian cố gắng nuốt ( cơm, chuối,…) đưa xương cá xuống dưới vì có thể nguy cơ thủng – apxe đường tiêu hóa và các cơ quan lân cận.
  2. Lựa chọn TỐT NHẤT và AN TOÀN nhất nếu nghi ngờ dị vật hạ họng là cần được khám và/hoặc nội soi họng để tìm – gắp dị vật.

2. Có nên cố gắng khạc nhổ hoặc dùng tay móc họng, tìm xương cá không ?

Không nên thực hiện điều này. Trường mắc xương cá tại vùng họng thường kẹt hoặc cắm sâu vào tổ chức trong họng. Thực hiện động tác dùng tay móc, tìm xương vô tình bạn đang đẩy nó vào sâu bên trong họng vào các tổ chức amydan – đáy lưỡi- bên họng. Trường hợp xương ẩn sâu trong tổ chức amydan, cơ vùng họng, được ghi nhận trên CT hoặc Xquang cổ nhưng không thấy trên nội soi, bệnh nhân có thể cần được phẫu thuật để lấy xương tránh nguy cơ apxe – nhiễm trùng huyết đe dọa tính mạng bệnh nhân.

3. Hóc xương cá cần làm gì ?

Ngưng ngay việc ăn uống, không cố gắng nuốt xuống vì có thể đưa xương cá xuống sâu đường tiêu hóa. Nhổ toàn bộ thực ăn trong miệng có thể giúp đưa xương cá ra ngoài nếu xương chưa bị kẹt. Nếu bạn có cảm giác đau trong họng, cảm giác đau như châm chích cần tới các cơ sở có chuyên khoa Tai mũi họng để thăm khám tìm xương.

4. Ngậm chanh, ngậm C, thực Heimlich nên hay không ?

Ngậm chanh, ngậm C, soda không có cơ sở khoa học, việc thực hiện thường không có tác dụng với bệnh nhân mắc xương cá
Thực hiện nghiệm pháp Heimlich chỉ thực hiện ở trường hợp dị vật gây tắc nghẽn đường thở, bệnh nhân khó thở. Dị vật xương là dị vật sắc nhọn, không gây tắc nghẽn đường thở nên không khuyến khích thực hiện nghiệm pháp này.

5. Bác sĩ tai mũi họng sẽ làm gì để lấy xương ?

Bác sĩ sẽ sử dụng đèn Clar quan sát vùng họng tìm xương cho bạn. Nếu xương kẹt sâu cần phải thăm khám bằng nội soi để quan sát các cấu trúc sâu bên dưới để tìm xương. Phần đa các trường hợp thấy xương mắc kẹt tại họng có thể lấy dưới nội soi, thủ thuật thực hiện nhanh và về trong ngày, không cần can thiệp gây mê.

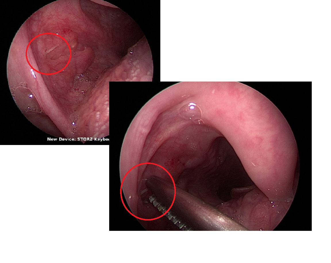
Hình 3 : Bệnh nhân Nam 27 tuổi được Nội soi ống cứng gắp Xương cá vị trí Amydan Phải

tại Khoa Tai mũi họng Bệnh viện Quốc tế Becamex

6. Yếu tố nguy cơ tăng tỷ lệ mắc xương cá.

Theo một nghiên cứu khoa học của tác giả Arulanandam đăng trên Pubmed ( Thư viện y khoa Quốc gia Hoa Kỳ ). Thực hiện một nghiên cứu 112 bệnh nhân bị hóc xương tại khoa cấp cứu tại bệnh viện Tan Tock Seng Singapore 2009-2010 ghi nhận các yếu tố nguy cơ làm tăng tỷ lệ mắc xương cá :
a. Thói quen đưa hết 1 phần của miếng cá chưa được lấy xương vào miệng và sử dụng miệng, lưỡi, môi, khẩu cái để lọc/lừa xương cá ra ngoài.
b. Đeo răng giả : giảm sự cảm nhận xương cá trong miệng
c. Nhóm ăn cá bằng đũa hoặc nĩa tỷ lệ mắc xương cao hơn nhóm ăn cá bằng tay : điều này được giải thích răng việc ăn cá bằng tay giúp cảm nhận xương tốt hơn
d. Thói quen : Ăn nhanh, nói cười trong ăn,…có thể tăng nguy cơ mắc xương cá.

Để lại một bình luận

Email của bạn sẽ không được hiển thị công khai. Các trường bắt buộc được đánh dấu *