VÌ SAO KHÔNG NÊN LẤY RÁY TAI
Tai có cơ chế tự làm sạch tự nhiên
Vào năm 1936, Stinson tình cờ quan sát thấy một mảnh sậy mắc kẹt trong màng nhĩ tự di chuyển dần dần từ màng nhĩ đến thành ống tai và cuối cùng ra ngoài. Hứng thú với hiện tượng này, ông đã nhỏ một chấm mực Ấn Độ lên trung tâm màng nhĩ và theo dõi sự di chuyển của nó. Sau một thời gian, ông kết luận rằng biểu mô của màng nhĩ và ống tai ngoài có khả năng di chuyển hướng tâm ra ngoài – đây chính là cơ chế tự làm sạch của tai [1].
Các nghiên cứu sau đó cho thấy, biểu mô của màng nhĩ và da ống tai ngoài có thể di chuyển với tốc độ khoảng 0,07 – 0,2 mm/ngày, giúp vận chuyển bụi bẩn, tế bào chết và ráy tai từ trong ra ngoài một cách tự nhiên. Tốc độ này có thể thay đổi tùy từng cá nhân và bị ảnh hưởng bởi yếu tố tuổi tác, tình trạng tai hoặc do can thiệp không đúng cách như ngoáy tai [2].

Hình 1: Một chấm mực Ấn Độ đã được bôi vào trung tâm màng nhĩ phải. Sáu tuần sau, chấm mực bị tách làm đôi và phần viền ngoài của nó vỡ ra thành nhiều chấm li ti nhỏ đã di chuyển ly tâm về phía rìa của màng nhĩ.
Vai trò quan trọng của ráy tai
Ráy tai (cerumen) không phải là chất bẩn như nhiều người lầm tưởng. Nó là một phần thiết yếu trong hệ thống bảo vệ tự nhiên của tai:
- Chống nhiễm khuẩn và nấm
- Chứa enzyme lysozyme có tác dụng kháng khuẩn và kháng nấm.
- Giữ độ pH hơi acid trong ống tai, tạo môi trường bất lợi cho vi khuẩn và nấm.
- Giữ ẩm và bảo vệ da ống tai
- Chứa lipid và dầu tự nhiên giúp duy trì độ ẩm, ngăn ngừa khô da và kích ứng.
- Ngăn dị vật và bụi bẩn đi sâu vào tai
- Ráy tai hoạt động như bộ lọc, giữ lại bụi, vi khuẩn, côn trùng và dị vật nhỏ.
- Hỗ trợ cơ chế tự làm sạch của tai
- Ráy tai được đẩy ra ngoài nhờ cử động nhai, nói chuyện và sự di chuyển biểu mô.
- Khi ra đến ngoài, ráy tai sẽ khô và rơi ra tự nhiên, giúp làm sạch mà không cần can thiệp [3].
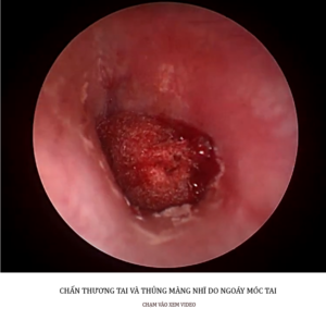
Tác hại của việc ngoáy tai
Việc ngoáy tai tưởng như làm sạch, thực chất lại gây nhiều hậu quả:
-
- Lấy mất lớp bảo vệ tự nhiên là ráy tai, khiến tai dễ bị nhiễm trùng.
- Gây tổn thương ống tai, trầy xước, tạo điều kiện cho vi khuẩn xâm nhập → viêm tai ngoài, nhọt, áp-xe.
- Nguy cơ lây nhiễm chéo khi dùng chung dụng cụ lấy ráy tai.
- Thủng màng nhĩ, có thể đi kèm với tổn thương chuỗi xương con trong tai giữa, gây nghe kém hoặc viêm tai giữa mạn tính có mủ.
Thói quen ngoáy tai ở người Việt – Những quan niệm sai lầm
- “Ráy tai nhiều là bẩn”:
- Sự thật: Ráy tai có vai trò bảo vệ. Một lớp mỏng là hoàn toàn bình thường.
- “Ráy tai có mùi hôi”:
- Mùi nhẹ là bình thường. Nếu mùi hôi nặng kèm chảy dịch có thể là dấu hiệu viêm tai ngoài hoặc tai giữa.
- “Tắm xong nước đọng trong tai nên phải ngoáy”:
- Thực tế: Ống tai có cấu trúc từ trong cao ra ngoài thấp, nước sẽ tự thoát sau 5-10 phút. Nếu cảm giác nước tồn tại lâu, có thể bạn đang bị nấm tai hoặc viêm tai giữa → nên khám chuyên khoa.

Ráy tai – Khi nào là bất thường?
![]() |
Bình thường, ráy tai chỉ tạo một lớp mỏng ở ngoài ống tai. Tuy nhiên, ở một số người, ráy tai tăng tiết quá mức, tích tụ lại thành nút ráy tai hoặc nút biểu bì ráy tai, gây:
- Tắc nghẽn ống tai → nghe kém
- Đau tai khi tiếp xúc với nước (do ráy nở to)
- Rối loạn cảm giác trong tai
Cần xử lý bằng cách xịt thuốc tan ráy hoặc đến cơ sở y tế chuyên khoa Tai Mũi Họng để lấy an toàn.
Khi nào cần khám tai mũi họng?
Nếu bạn có các triệu chứng sau, hãy đến khám ngay:
- Ngứa tai liên tục
- Chảy dịch hoặc mủ từ tai
- Đau tai
- Ù tai
- Nghe kém
Kết luận
Tai có cơ chế tự làm sạch nhờ sự di chuyển biểu mô từ màng nhĩ ra ngoài. Ráy tai là hàng rào bảo vệ tự nhiên, giúp chống nhiễm trùng, giữ ẩm và lọc bụi bẩn.
Việc ngoáy tai không đúng cách không chỉ phá vỡ cơ chế bảo vệ tự nhiên mà còn có thể gây tổn thương nghiêm trọng cho tai.
Hãy tôn trọng cơ chế tự nhiên của tai – nếu cần làm sạch hoặc có vấn đề, hãy để khám cơ sở y tế có chuyên khoa Tai mũi họng.
Tài liệu tham khảo:
|
[1] Boedts, D. (1978). Tympanic epithelial migration. Clinical Otolaryngology & Allied Sciences, 3(3), 249–253. https://doi.org/10.1111/j.1365-2273.1978.tb00695.x |
|
[2] Makino, K., & Amatsu, M. (1986). Epithelial migration on the tympanic membrane and external canal. Archives of Otorhinolaryngology, 243(1), 39–42. https://doi.org/10.1007/BF00457906 |
|
[3] Carlson, M. L., & Gantz, B. J. (Eds.). (2021). Cummings Otolaryngology: Head and Neck Surgery (7th ed.). Elsevier. |


